محتوای سایت آموزش جنسی و زناشویی طبتاج جهت کمک به مسایل جنسی و زناشویی خانواده ها تهیه و تنظیم شده است و مناسب افراد زیر 18 سال نمی باشد. در صورتی که زیر 18 سال دارید , این سایت را ترک نمایید .
باندینگ (پیوند) دندان چیست؟
باندینگ دندان چیست؟
باندینگ دندان و موارد استفاده از آن
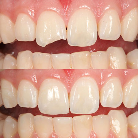
اگر شما یک دندان خرد شده، ترک خورده یا تغییر رنگ یافته دارید ، یک روش دندانپزشکی زیبایی مانند پیوند دندان می تواند اعتماد به نفس شما را بالا ببرد و لبخند زیبایی برای شما به ارمغان آورد.
باندینگ (پیوند) دندان چیست؟
پیوند دندان روشی است که دندانپزشک شما برای ترمیم آسیب ، یک رزین کامپوزیت به رنگ دندان را در یک یا چند دندان خود اعمال می کند. این یک راه حل مقرون به صرفه است زیرا نسبت به سایر روشهای زیبایی دندان مانند تاج و ونیرها بسیار ارزان است.
باندینگ دندان یکی از روشهای ترمیم شکستگی و ترک خوردگی دندانها می باشد
پیوند دندان چگونه کار می کند؟
پیوند دندان ساده تر از سایر روشهای زیبایی دندانپزشکی است. این روش به طور معمول نیازی به بیحسی ندارد (مگر اینکه حفره ای را پر کنید) و به چندین مراجعه به دندانپزشک احتیاج ندارد.
برای شروع فرآیند ، دندانپزشک شما از یک راهنمای سایه برای انتخاب رنگ رزین کامپوزیت استفاده می کند که از نزدیک با رنگ دندانهای طبیعی شما مطابقت دارد. دندانپزشک شما سطح دندان را زبر می کند و سپس مایعی را اعمال می کند که باعث می شود ماده اتصال دهنده به دندان بچسبد. دندانپزشک شما رزین کامپوزیت را روی مایع قرار داده ، آن را شکل داده و سپس با نور ماوراء بنفش مواد را سخت می کند.
در صورت لزوم ، دندانپزشک شما می تواند بعد از سخت شدن رزین ، دندان را بیشتر شکل می دهد.
پیوند دندان می تواند اندازه دندان را افزایش دهد
موارد استفاده از باندینگ:
پبوند دندان می تواند یک نقص یا عیوب دندان را برطرف کند. بعضی از افراد برای ترمیم دندان پوسیده ، ترک خورده یا تغییر رنگ یافته از پیوند استفاده می کنند. این روش همچنین می تواند شکاف های کوچک بین دندان ها را ببندد.
پیوند دندان می تواند اندازه دندان را افزایش دهد. به عنوان مثال ، ممکن است شما یک دندان کوتاه تر از بقیه داشته باشید و می خواهید همه آنها به طول یکسان باشند.
پیوند دندان یک روش سریع است و به زمان کمی نیاز دارد. به بیحسی احتیاج ندارید و می توانید بعد از انجام عمل به زندگی روزمره خود ادامه دهید. به طور معمول ، پیوند دندان بین 30 تا 60 دقیقه طول می کشد.
آیا پیوند دندان (باندینگ) خطراتی وجود دارد؟
پیوند دندان خطرات عمده ای ندارد.
به خاطر داشته باشید که رزین کامپوزیت مورد استفاده با این روش به اندازه دندانهای طبیعی شما قوی نیست.
این امکان وجود دارد که مواد از دندان واقعی شما جدا شوند.
در صورت خوردن یخ ، جویدن قلم یا مداد ، ناخن ها و یا غذای سخت یا آب نبات ممکن است پیوند دندان شما دچار تراشیدگی شود.
رزین همچنین مانند سایر مواد دندانپزشکی مقاوم در برابر لکه نیست. اگر سیگار می کشید یا قهوه زیادی می نوشید ، ممکن است تغییر رنگ ایجاد شود.
مراحل انجام کامپوزیت باندینگ
نحوه آماده سازی برای پیوند دندان ها
باندینگ دندان به آمادگی خاصی نیاز ندارد. اما برای دیدن اینکه آیا شما کاندیدای این روش هستید ، باید با دندانپزشک خود مشورت کنید.
در صورت آسیب شدید دندان یا پوسیدگی ، پیوند زدن ممکن است کار نکند. به جای آن ممکن است به روکش یا تاج احتیاج داشته باشید.
نحوه مراقبت از دندانهای پیوندی :
مراقبت از دندانهای شما به طولانی تر شدن طول عمر دندان کمک می کند. نکات مربوط به مراقبت شامل موارد زیر است:
• حداقل روزانه دو بار مسواک بزنید و نخ دندان بزنید.
• اجتناب از خوردن غذای سخت و شیرینی
• ناخن هایتان را نجوید.
• برای جلوگیری از لکه ها ، دو روز اول بعد از عمل ، از قهوه ، چای و دخانیات خودداری کنید.
• هر شش ماه برنامه ریزی کنید و برای تمیز کردن دندان ها به دندانپزشک مراجعه کنید.
• اگر بطور تصادفی تراشه جدا شد یا مواد باندینگ شکسته شد، یا اگر لبه های تیز یا خشن بعد از عمل احساس می کنید ، به دندانپزشک مراجعه کنید.

